Mastering Pre-shaded Zirconia Blocks: From Material Selection to Aesthetic Excellence
2025-07-09
By Amanda Wu – R&D Engineer at Honchon
Introduction: Why Pre-Shaded Zirconia Is a Game-Changer
As dentists and technicians demand more natural-looking restorations without compromising strength, pre-shaded dental zirconia blocks have rapidly become a preferred material in CAD/CAM dentistry. These blocks integrate mechanical performance (up to 1200 MPa) with built-in chromatic gradients, eliminating the need for manual staining and reducing processing time.

At Honchon, we’ve dedicated years to developing multilayer zirconia systems that combine technical accuracy with clinical beauty—especially in anterior and full-contour applications.
1. Material Science: The Foundation of Quality
The effectiveness of a pre-shaded zirconia block starts at the molecular level.
We source our powders from TOSOH (Japan) and Guoci (China), ensuring:
Consistent particle size distribution
Stable yttria content (3Y-TZP to 5Y-PSZ)
Minimal shrinkage variation during sintering
Through hydrothermal synthesis, we produce nano-zirconia powders that support:
Color stability across VITA 16 shades + bleach options
Translucency gradient: 49% (incisal) → 42% (cervical)
Strength gradient: 800–1200 MPa multilayer structure
These optimized powders form the base of our STP and SHTP series blocks, designed for anterior esthetics and long-span bridges alike.

2. Multilayer Design: Replicating Natural Teeth
Modern pre-shaded blocks use 5–9 gradient layers, and our latest 4D systems offer 15 subtle transitions, creating lifelike effects such as:
Incisal halo
Mid-coronal chroma saturation
Cervical opalescence
Unlike hand-colored or mono blocks, these multi-layered structures ensure color harmony throughout the restoration—even after milling and sintering.
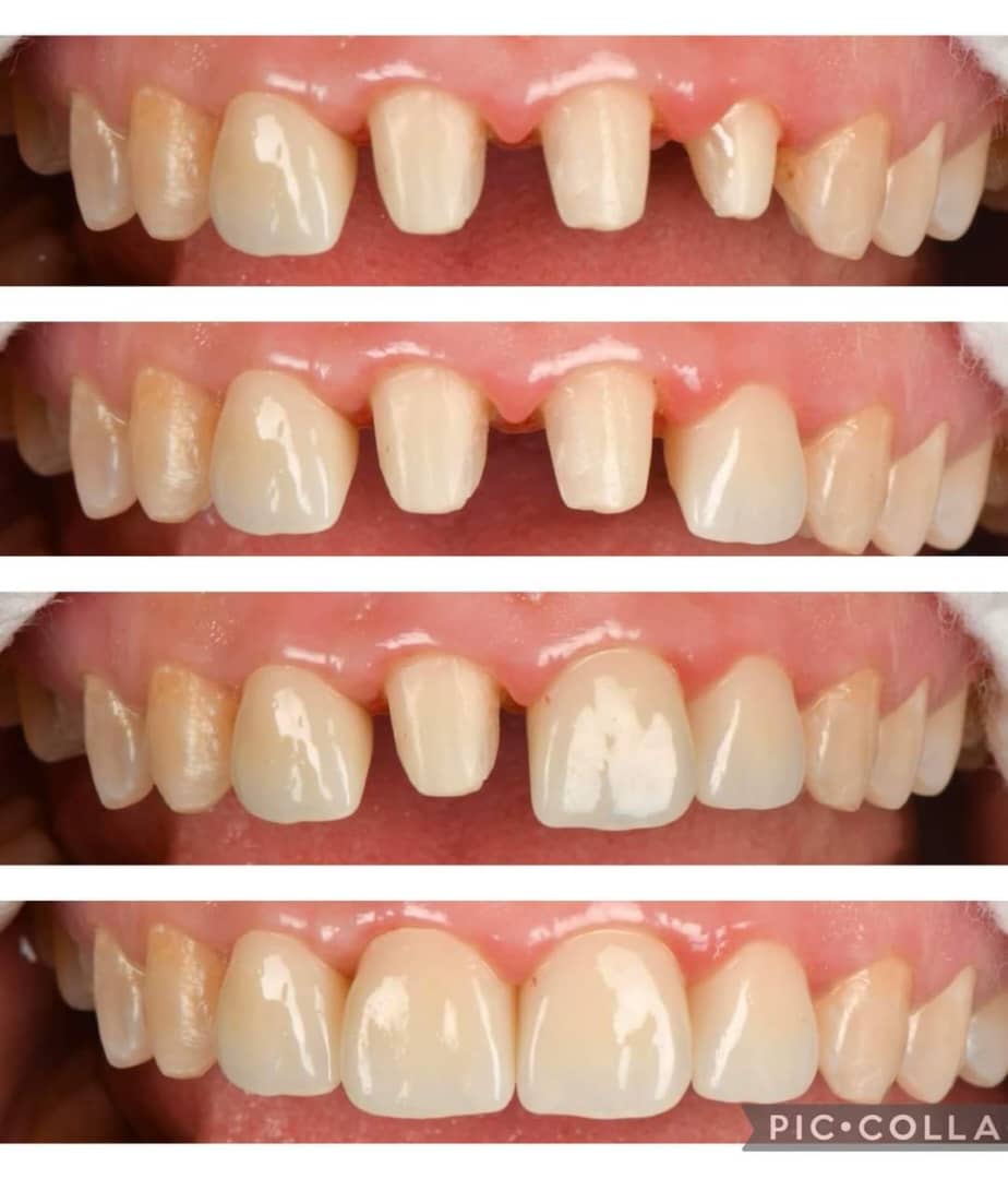
Our STP Color Blocks are precisely layered to simulate the optical behavior of enamel and dentin, making them ideal for aesthetic zones.

3. Clinical Advantages: More Than Just Looks
Workflow Efficiency
Eliminates chairside staining
Saves up to 30% sintering time
Compatible with most open CAM systems
Bioesthetic Performance
High translucency and color depth
Better light diffusion for anterior restorations
Reduced remakes due to improved color consistency
Material Safety
All Honchon zirconia blocks are certified for:
ISO 13485 and CE / FDA compliance
Aging resistance to avoid low-temperature degradation
4. Milling & Processing: What Labs Should Know
To ensure optimal outcomes:
Follow manufacturer’s sintering curves
Use compatible milling systems (open 98mm, AG 95mm, etc.)
Maintain CAM parameters for clean edge detailing
Our blocks are compatible with Roland, Amann Girrbach, and other open systems, with shrinkage ratios precisely calibrated.
5. Looking Ahead: The Future of Pre-Shaded Zirconia
Pre-shaded zirconia technology is evolving fast. Future innovations include:
AI-based shade matching software
3D-printed zirconia gradients
Smart materials with adaptive thermal expansion
At Honchon, we are actively developing next-gen zirconia blocks tailored to regional shade preferences and functional demands, with a current clinical acceptance rate of 98.7% in anterior restorations.
Conclusion: Not Just a Material – A Strategy
Choosing the right pre-shaded zirconia block isn’t just about strength or shade—it’s about restoring confidence in every smile. From raw material to multi-layer design, Honchon’s approach reflects our commitment to scientific precision and clinical success.
If you're looking for zirconia blocks that deliver both beauty and performance, our team is here to support you with technical advice, samples, and OEM/ODM solutions.
Contact us today to learn more or request a quote.
Contact us
Email luis@honchon.com
WhatsApp: 8613055185196