Dental Inlays vs Fillings: When and Why to Choose an Inlay
2025-11-05
When a tooth suffers from extensive decay, traditional fillings may not always provide a long-lasting solution. Large cavities, worn teeth, or areas under high biting pressure often cause fillings to fail. In these cases, inlays offer a durable and precise alternative.
What Is an Inlay?

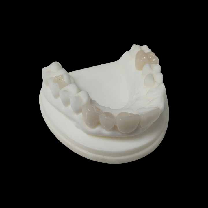
An inlay is a custom-made restoration designed to fit perfectly within the cavity of a tooth. Unlike traditional fillings, inlays are crafted outside the mouth, then bonded to the tooth with adhesive. This ensures a secure fit, restores chewing efficiency, and protects the tooth from further damage.
Modern inlays are often made from high-quality materials like zirconia or lithium disilicate, which can be digitally designed and milled using CAD/CAM systems. This digital workflow enhances accuracy and aesthetics, creating restorations that closely match the natural tooth in both form and function.
Advantages of Inlays
Preserve Natural Tooth Structure
Less tooth preparation is required compared with large fillings, maintaining strength and reducing irritation to the pulp.
Enhanced Longevity
Because inlays are fabricated externally, they resist shrinkage and wear, lasting longer than most traditional fillings.
Improved Oral Hygiene
Smooth, polished surfaces prevent plaque buildup and promote periodontal health.
Protect Weak Tooth Areas
Inlays reinforce thin walls and hidden cracks, preventing fractures or splitting.
Better Aesthetics
High-quality porcelain or zirconia inlays closely match natural tooth color, providing a lifelike appearance.
Precise Contact Points
Inlays restore proper contact with neighboring teeth, supporting dental alignment and function.
Types of Inlays
Metal Alloy Inlays: Economical but less aesthetic and rigid.
Porcelain Inlays: Excellent color fidelity and suitable for aesthetic restorations; require precise fabrication.
Lithium Disilicate Inlays: Highly durable with natural translucency; ideal for digital CAD/CAM workflows.
Zirconia Inlays: Extremely strong, biocompatible, and perfect for both anterior and posterior restorations.
Gold Inlays: Superior ductility, longevity, and biocompatibility; rarely cause secondary decay.
When to Choose an Inlay
Inlays are recommended for cases such as:
Large cavities where conventional fillings may fail.
Teeth with high occlusal forces, especially posterior teeth.
Restoration of cusps, marginal ridges, or subgingival areas.
Protecting thin-walled or cracked teeth.
Replacing old or failed fillings while preserving natural tooth structure.
For modern dental practices, digital scanning improves the precision of inlay restorations. Using HONCHON intraoral scanners for chairside scanning and HONCHON desktop scanners in the lab ensures accurate impressions, smooth design workflows, and predictable outcomes.
Why Digital Workflow Matters
The integration of digital impressions and CAD/CAM fabrication has revolutionized inlay dentistry:
Accurate Fit: Digital scans eliminate errors from traditional impressions.
Patient Comfort: No messy materials or multiple visits are needed.
Faster Production: Data flows directly from scan to milling machine.
Seamless Lab Collaboration: Share files instantly with dental labs for efficient restoration.
Combined with HONCHON zirconia or lithium disilicate blocks, the digital workflow allows dentists and labs to produce restorations that are strong, aesthetic, and long-lasting.
Conclusion
Inlays provide a durable, precise, and aesthetically superior solution when traditional fillings are insufficient. By adopting a digital workflow with HONCHON scanners and high-quality materials, dental professionals can enhance treatment outcomes, improve patient comfort, and streamline restorative procedures.
Whether restoring a single tooth or complex posterior restorations, HONCHON digital solutions and dental materials support every step of the process—from scan to final restoration.